养狗的人,肯定都遇上过狗狗“变瘸”的状态,看它平时走路突然间变得一跛一跛的,虽然会让人疑惑,可是要是能所了解到狗狗跛行的原因,也就不况且这样惶恐不安了。
照成狗狗“变瘸”的原因真是是太了,有些是小问题有些比较好严重。大多数想所了解是有什么原因造成的,我们带狗狗去宠物医院去检查一下就能很清楚。跛行那种情况也可以又出现在完全没有狗狗身上,不管是什么它年龄多大、体型多大、是否需要是健康,都有吧可能。这样关与原因这块,我们没有办法例举出绝大部分的,但是我们可以总结一些最常见的。

1.狗狗受伤引起跛行
狗狗重伤很可能是影响到跛行最常见的原因,影响范围也可以从太很轻微到太相当严重。受伤跛行也是太确实的,只不过这个状态下是突遇的,尤其是当狗狗跑完步或做了一些跳跃运动之后很难又出现。过度运动或轻微碰撞造成的肌肉和肌腱皮肤擦伤和拉伤,在自我保护能力相对差的小狗狗中也很常见(其实很多人都知道狗会替飞盘而掉落悬崖)。更严重一些的伤害除了韧带撕裂(在宠物医疗中称作CCL或前交叉韧带),骨骨折或者胳膊脱臼都是必然的。反正是以内哪种原因,要是你的狗狗在体育运动后瘸了,应该是及时送去宠物医院检查。是因为我们的狗狗忍耐力不光强,当我们看起来好像像是轻微的疼痛症状的时候,很可能狗狗巳经受伤很极为严重了。

2.狗狗骨关节炎引起
那像人一样,紧接着年龄的增长,狗狗的肌肉骨骼也正在废用性萎缩容易老化。就算狗狗的整个结构健康状况还不错,年纪大的狗狗骨关节炎都很有可能结束不发作。这也是的很较常见的,表现出出的就是狗狗骨骼和关节的跛行或发僵,狗狗又开始出现行动困难时还会非常很明显。骨关节一般是病情管理来治疗好的,大多数数的主人也可以和宠物医生一起讨论到一下给年纪大的狗狗制定一个依先生的骨骼管理计划。
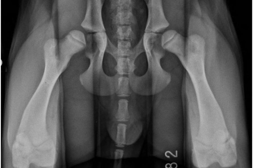
3.狗狗关节发育不良引起
狗狗还很容易又出现髋关节和肘关节发育不良,虽然有点犬种比较不容易遗传那样的疾病,但基本都单独的犬种都能看见了这个症状。那样的发育不良倒致肘关节或髋关节畸形,会让狗狗的坐姿或走路姿势变得很古怪。髋关节和肘关节发育不良,也可疼痛可十分严重。这种疾病,如果又出现症状,一般都在狗狗比较小的时候就能发现自己,可以不通过手术的让狗狗恢复从容自如活动;要是就没做手术干预,这种疾病会剧烈狗狗终生,到后期会会影响狗狗的正常了生活。
4.狗狗的爪子出了问题
狗狗的脚掌受伤,也会会造成它们步态不稳。很多时候,当我们以为是狗狗的腿有问题时,很可能是它们的爪子出了问题。肯定是脚掌扎破了、脚指甲断了、脚指头崩裂了,又或是是脚腕黏了东西或者被虫叮咬了,都会让狗狗会出现跛行的状态。假如我们发现到狗狗开始又出现一瘸一拐的走路啊,要是能首先排除腿重伤影起的,那么就全面检查一下它的脚掌爪子,看看是否是有问题。你的狗狗如何确定有过“一瘸一拐”的状况,你们明白是有什么原因影响到的吗?
版权声明:本文部分内容素材来自互联网汇编 如有侵权联系删除